新疆自考2024年4月自考《10127服装材料学(二)》真题
《自考视频课程》名师讲解,轻松易懂,助您轻松上岸!低至199元/科!
2024年4月高等教育自学考试
服装材料学(二)试题
课程代码:10127
1.请考生按规定用笔将所有试题的答案涂、写在答题纸上。
2.答题前,考生务必将自己的考试课程名称、姓名、准考证号用黑色字迹的签字笔或钢笔填写在答题纸规定的位置上。
选择题部分
注意事项:
每小题选出答案后,用2B铅笔把答题纸上对应题目的答案标号涂黑。如需改动,用橡皮擦干净后,再选涂其他答案标号。不能答在试题卷上。
一、单项选择题:本大题共15小题,每小题2分,共30分。在每小题列出的备选项中只有一项是最符合题目要求的,请将其选出。
1.以下纤维中的长度最长。
A.海岛棉
B.亚麻
C.蚕丝
D.马海毛
2.___是一种变化型的高湿模量黏胶纤维,它的干湿强力和缩水率均比黏胶纤维好。
A.竹纤维
B.天丝纤维
C.莫代尔纤维
D.大豆纤维
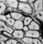
3.
是在显微镜下的纤维截面。
A.粗绒棉
B.亚麻
C.苎麻
D.长绒棉
4.下列面料的原料是由精梳棉纱制成。
A.大衣呢
B.法兰绒
C.细纺
D.地毯
5.表示针织绒线的品号的第一位数字1表示
A.精梳绒线
B.粗梳绒线
C.国产羊毛
D.外国羊毛
6.以下__不属于斜纹组织。
A.卡其
B.法兰绒
C.羽纱
D.哔叽
7.毛类材料的染色一般选用
A.活性染料
B.酸性媒介染料
C.直接染料
D.强酸性染料
8.服装中的熨烫原理属于___整理。
A.拉幅
B.热定型
C.丝光
D.预缩
9.适合运用在运动服面料的整理方式是
A.防污整理
B.拒水透湿整理
C.砂洗
D.折皱整理
10.纤维的导热性常用导热系数入表示,下列__的导热系数最小,其保暖性最好。
A.棉
B.羊毛
C.水
D.静止空气
11.下面的面料中,是平纹棉织物。
A.府绸
B.卡其
C.华达呢
D.牛仔布
12._____采用2.2~2.4tex长丝加单向强捻织造而成的平纹织物,经树脂整理形成。适合做婚礼服、芭蕾舞衣裙等。
A.真丝绡
B.电力纺
C.双绉
D.素软缎
13._____属于高级毛皮,毛短,细密柔软,适合做毛皮帽、长短大衣等。
A.小毛细皮
B.大毛细皮
C.粗毛皮
D.杂毛皮
14.黏胶长丝与棉纱交织的里料代表品种是
A.羽纱
B.美丽绸
C.人丝绸
D.电力纺
15.以下织物中熨烫温度最低的是
A.棉织物
B.麻织物
C.丝织物
D.毛织物
二、判断题:本大题共10小题,每小题2分,共20分。判断下列各题,在答题纸相应位置正确的涂“A”,错误的涂"B"。
16.花边不属于辅料。
17.织物的手感与纤维原料、纱线品种、织物厚薄、重量、组织结构、染整工艺都有密切关系。
18.在服装的折边处不需要使用衬料。
19.针织线又称为开司米。
20.漂白织物是经段染加工得到的织物。
21.纬编罗纹组织的横向有较大的弹性和延伸性,因此用于袖口,领口和裤口等部位。
22.手绘纺织品具有“独一无二”的特点。
23.薄花呢薄、爽、滑、挺,主要用于夏装。
24.服装的接触舒适性主要通过面料的手感来评价。
25.根据布边来认识正反面,布边光洁、整齐的一面为正面,针眼凸出的一面为反面。
非选择题部分
注意事项:
用黑色字迹的签字笔或钢笔将答案写在答题纸上,不能答在试题卷上。
三、填空题:本大题共10小题,每空1分,共15分。
26.1953年美国研发了____。
27.悬垂性可分为___和____。
28.是将茧丝切成短纤维后纺纱。
29.服装的洗可穿性有时也称为_。
30.___在织物中的含量很少,但能大大改善织物的弹性,使服装具有良好的尺寸稳定性,改善合体度,且紧贴人体又能伸缩自如,便于活动。
31.动物纤维由蛋白质分子组成,在储存和服用过程中易发生____。
32.使织物产生印花效果的浆料是__。
33.基本组织是、 和 。
34.传统的印花工艺流程一般包括_、花筒雕刻、色浆调制和印制花纹、____等四个工序。
35.服装的扣紧材料有、、钩环、尼龙搭扣及绳带等。
四、名词解释题:本大题共3小题,每小题5分,共15分。
36.织物的总紧度
37.空气层组织
38.成品熨烫
五、简答题:本大题共2小题,每小题5分,共10分。
39.简述童装的材料选用要求。
40.解释捻度和捻向,并说明其与服装的关系。
六、实验题:本大题10分。
41.简单说说天然皮革的质量评定标准。与天然毛皮相比,人造毛皮的服用优势和缝制要点是什么?
本文标签:新疆自考服装材料学(二)新疆自考2024年4月自考《10127服装材料学(二)》真题
转载请注明:文章转载自(http://www.xinjiangzikao.com)
本文地址:http://www.xinjiangzikao.com/fuzhuangcailiaoxue_er_/37102.html

《新疆自考网》免责声明:
1、由于各方面情况的调整与变化,本网提供的考试信息仅供参考,考试信息以省考试院及院校官方发布的信息为准。
2、本网信息来源为其他媒体的稿件转载,免费转载出于非商业性学习目的,版权归原作者所有,如有内容与版权问题等请与本站联系。联系邮箱:812379481@qq.com。









